بلیچینگ دندان یکی از سریع ترین و مؤثرترین روش های روشن سازی لبخند است که با از بین بردن لکه ها و تغییر رنگ های عمیق مینای دندان در مدت زمانی کوتاه جلوه ای درخشان و جوان تر به ظاهر چهره می بخشد.
این روش با استفاده از مواد تخصصی و ایمن انجام می شود و برای افرادی مناسب است که می خواهند بدون آسیب رساندن به ساختار دندان سفیدی قابل توجهی تجربه کنند. در کلینیک زیبایی جلفا فرایند سفید کردن با نظارت دقیق دندانپزشکان مجرب و بهره گیری از تجهیزات پیشرفته انجام می شود تا نتیجه ای یکنواخت، ماندگار و طبیعی برای مراجعین به دست آید و لبخندی شفاف و جذاب برایشان خلق شود. می توانید به کلینیک دندانپزشکی جلفا مراجعه کنید.

در حوزه زیبایی دندان هر روش با هدف و کارکرد متفاوتی طراحی شده است و انتخاب بین آن ها به نیاز، وضعیت دهان و انتظارات فرد بستگی دارد. بسیاری از افراد تصور می کنند بلیچینگ، جرم گیری و کامپوزیت نتایجی مشابه دارند درحالی که هر یک نقش جداگانه ای در بهبود ظاهر لبخند ایفا می کنند و درک تفاوت آن ها کمک می کند تصمیمی آگاهانه تر برای زیبایی و سلامت دندان ها گرفته شود.

بلیچینگ روشی تخصصی برای روشن تر کردن رنگ طبیعی دندان هاست که بدون دستکاری روی ساختار دندان تنها با استفاده از مواد سفید کننده حرفه ای، لکه های عمیق و تیرگی های ایجاد شده در مینای دندان را کاهش می دهد.
این روش برای افرادی مناسب است که دندان های سالم اما زرد یا تغییررنگ داده دارند و می خواهند سفیدی طبیعی و درخشش بیشتری در لبخند شان ایجاد شود. در بلیچینگ هیچ ماده ای به دندان اضافه نمی شود و نتیجه تنها شفاف تر و روشن تر شدن رنگ مینای خود دندان است.

جرم گیری یک درمان کاملاً بهداشتی و غیرزیبایی است که هدف آن پاک سازی رسوبات، پلاک های سفت، لکه های سطحی و جرم های انباشته شده روی دندان و اطراف لثه است.
این روش برای جلوگیری از التهاب لثه، بوی بد دهان، تحلیل لثه و پوسیدگی ضروری است و به طور مستقیم رنگ طبیعی دندان ها را تغییر نمی دهد بلکه با برداشتن جرم ها، ظاهر دندان ها تمیزتر و شفاف تر به نظر می رسد. جرم گیری بیشتر یک اقدام درمانی برای سلامت دهان است تا یک عملیات زیبایی پیشرفته.

کامپوزیت یک روش زیبایی و ترمیمی پیشرفته است که با افزودن لایه ای از مواد همرنگ دندان روی سطح آن تغییرات اساسی در فرم، سایز، رنگ، فاصله و نقص های ظاهری ایجاد می کند. این روش برای افرادی مناسب است که علاوه بر روشن تر شدن رنگ دندان ها به اصلاح لبخند، رفع فاصله بین دندان ها، پوشاندن شکستگی ها یا یک دست سازی فرم دندان ها نیاز دارند. کامپوزیت برخلاف بلیچینگ و جرم گیری ساختار لبخند را بازطراحی می کند و نتیجه ای فوری، زیبا و کاملاً قابل تغییر ارائه می دهد.

بلیچینگ دندان یکی از روش های پرطرفدار زیبایی است که بدون نیاز به تراشیدن دندان یا انجام درمان های پیچیده می تواند ظاهر لبخند را به طور چشمگیری روشن تر کند. این تکنیک با هدف کاهش زردی، رفع لکه های عمیق و بازیابی شفافیت مینای دندان انجام می شود و به دلیل سرعت بالا، ایمنی مناسب و هزینه مقرون به صرفه برای بسیاری از افراد انتخابی ایده آل به شمار می رود. از آنجایی که در بلیچینگ ساختار دندان دست نخورده باقی می ماند این روش از جنبه سلامت نیز کاملاً مورد تأیید است و نتایج طبیعی و جذابی ایجاد می کند.
مهم ترین مزیت بلیچینگ افزایش شفافیت و روشن تر شدن چشمگیر رنگ دندان هاست. مواد سفید کننده تخصصی به لایه های زیرین مینا نفوذ کرده و لکه هایی را که در طول سال ها از مصرف چای، قهوه، سیگار یا عوامل ژنتیکی ایجاد شده اند تجزیه می کنند. این تغییر رنگ بدون آسیب رساندن به مینای دندان انجام می شود و نتیجه ای طبیعی، یکنواخت و قابل توجه ایجاد می کند که فوراً لبخند را جوان تر و سالم تر نشان می دهد.
یکی دیگر از مزایای اصلی بلیچینگ مقرون به صرفه بودن آن در مقایسه با روش هایی مانند لمینت و کامپوزیت است. در این روش نیازی به ساخت روکش یا استفاده از مواد ترمیمی نیست و همین موضوع باعث می شود هزینه نهایی بسیار پایین تر باشد. با وجود قیمت مناسب، کیفیت نتیجه برای بسیاری از افراد رضایت بخش است و می تواند بدون نیاز به تغییر فرم دندان ها جلوه ای زیبا و روشن به لبخند بدهد.
بلیچینگ روشی کاملاً غیرتهاجمی محسوب می شود چون هیچ بخشی از دندان تراشیده یا حذف نمی شود. ثبت ساختار طبیعی دندان باعث می شود بعد از سفید شدن، سلامت دهان و دندان به طور کامل حفظ شود و فرد نگرانی ای درباره حساس شدن دائمی یا آسیب به مینا نداشته باشد. همین ویژگی آن را به انتخابی مناسب برای افرادی تبدیل می کند که می خواهند لبخند شان را زیباتر کنند اما مایل به تغییرات دائمی و دستکاری روی دندان نیستند.
سفیدی و یکدستی دندان ها تأثیر مستقیمی بر جذابیت چهره و اعتماد به نفس فرد دارد. هنگامی که لکه ها و تیرگی ها از بین می روند لبخند تمیزتر، شاداب تر و جوان تر به نظر می رسد و همین تغییر کوچک می تواند تأثیر بزرگی بر نحوه تعامل فرد با دیگران داشته باشد. بلیچینگ علاوه بر بهبود ظاهر احساس رضایت شخصی و راحتی بیشتری در زمان صحبت کردن یا لبخند زدن ایجاد می کند.
مواد مورد استفاده در بلیچینگ اگر زیر نظر دندانپزشک تجویز و استفاده شوند کاملاً ایمن هستند و هیچ آسیبی به مینای دندان نمی رسانند. این روش معمولاً بدون درد انجام می شود و در صورت بروز حساسیت موقت این مشکل به سرعت برطرف می شود. ترکیب ایمنی بالا و نتایج قابل اعتماد بلیچینگ را به یکی از استاندارد ترین روش های زیبایی دندان تبدیل کرده است.

در حوزه سفید کردن دندان روش های مختلفی وجود دارد که هرکدام با سازوکار خاص خود عمل می کنند و شدت روشن کنند گی، مدت زمان انجام، ماندگاری و هزینه متفاوتی دارند. شناخت انواع بلیچینگ کمک می کند افراد براساس نیاز، میزان تیرگی دندان ها و شرایط دهان و دندان مناسب ترین گزینه را انتخاب کنند و بهترین نتیجه ممکن را به دست آورند.

این روش تخصصی ترین و سریع ترین نوع سفید کردن دندان است که در محیط کلینیک و زیر نظر دندانپزشک انجام می شود. در بلیچینگ مطبی از مواد سفید کننده با غلظت بالا استفاده می شود و معمولاً برای فعال سازی مواد، لیزر یا نور LED مخصوص به کار می رود. نتیجه آن بلافاصله قابل مشاهده است و در یک جلسه می توان چند درجه روشنایی بیشتر به دست آورد. این روش برای افرادی که تیرگی شدید دارند یا به دنبال نتیجه سریع هستند بهترین گزینه محسوب می شود.

در این روش دندانپزشک یک قالب ژله ای مخصوص از دندان های فرد می سازد، و ژل سفید کننده با غلظت کنترل شده در اختیار بیمار قرار می دهد. فرد باید طبق دستور پزشک چند ساعت در روز یا هنگام شب از قالب استفاده کند. فرایند بلیچینگ خانگی معمولاً چند روز تا چند هفته طول می کشد اما نتیجه آن ماندگاری بالایی دارد و به دلیل کنترل دقیق غلظت مواد احتمال حساسیت در آن کمتر است. این روش برای افرادی که به دنبال نتیجه تدریجی و ملایم هستند انتخاب مناسبی است.

این روش با ترکیب بلیچینگ مطبی و خانگی انجام می شود تا بهترین شدت روشن کنند گی و طول عمر نتیجه به دست آید. در ابتدا یک جلسه بلیچینگ در مطب انجام می شود و سپس فرد چند روز بلیچینگ خانگی را ادامه می دهد. این ترکیب باعث می شود دندان ها هم فوراً روشن شوند و هم ماندگاری سفیدی بیشتر شود. افرادی که دندان های بسیار تیره دارند یا نتیجه طولانی مدت می خواهند اغلب از این روش سود می برند.

این روش مخصوص دندان هایی است که به دلیل درمان ریشه (عصب کشی) تغییر رنگ داده اند. در این روش دندانپزشک ماده سفید کننده را داخل ساختار دندان قرار می دهد تا تیرگی از داخل برطرف شود. بلیچینگ داخلی کاملاً متفاوت از روش های رایج است، و تنها برای دندان های درمان ریشه شده استفاده می شود. این روش می تواند تغییر رنگ های عمیق را که با بلیچینگ معمولی روشن نمی شوند به طور مؤثر اصلاح کند.

هزینه بلیچینگ دندان در سال ۱۴۰۴ بسته به روش انتخابی، وضعیت دندان ها، تعداد جلسات مورد نیاز و تجهیزات مورد استفاده متفاوت است و نمی توان مبلغ مشخصی برای همه افراد اعلام کرد. عواملی مانند انتخاب بلیچینگ مطبی یا خانگی، نیاز به قالب اختصاصی، وجود ترمیم های دندانی، تجربه دندانپزشک و محل کلینیک در تعیین هزینه نهایی تأثیرگذار هستند. به همین دلیل برای دریافت برآورد دقیق، مشاوره حضوری با دندانپزشک و بررسی شرایط فردی ضروری است تا هزینه متناسب با نیاز و وضعیت دندان ها تعیین شود.

بلیچینگ مطبی به دلیل استفاده از مواد تخصصی با غلظت بالا و تجهیزات حرفه ای، سریع ترین و تأثیرگذارترین روش سفید کردن دندان محسوب می شود و تنها در یک جلسه می تواند چند درجه روشن تر از قبل نتیجه بدهد.
مزیت بزرگ آن این است که تمام مراحل توسط دندانپزشک کنترل می شود و احتمال خطا، حساسیت بیش از حد یا سوختگی لثه ها به حداقل می رسد. علاوه بر این نتیجه بلافاصله قابل مشاهده است و برای افراد عجول یا کسانی که مراسم مهم پیش رو دارند یک انتخاب ایده آل به شمار می آید.
اما در کنار این مزایا هزینه این روش معمولاً بالاتر از سایر انواع بلیچینگ است و ممکن است برخی افراد در ساعات اولیه پس از درمان کمی حساسیت دندان تجربه کنند. با این حال این حساسیت موقتی است و طی 24 تا 48 ساعت برطرف می شود.
این روش به دلیل غلظت کنترل شده مواد و استفاده تدریجی از ژل سفید کننده روشی ملایم تر و مناسب برای افرادی است، که می خواهند با کمترین میزان حساسیت دندان های خود را روشن کنند. مزیت مهم بلیچینگ خانگی این است که فرد می تواند به طور دقیق روند سفید شدن را مدیریت کند و اگر به سفید شدن بیشتری نیاز داشت انجام درمان را ادامه دهد.
همچنین ماندگاری این روش بسیار خوب است چون مواد سفید کننده زمان بیشتری روی دندان قرار می گیرند. اما نقطه ضعف آن این است که نتیجه فوری ایجاد نمی کند و فرد باید چند روز تا چند هفته صبر کند. همچنین استفاده غیر صحیح از ژل یا مصرف بیش از حد می تواند باعث حساسیت یا التهاب لثه شود بنابراین رعایت دستور پزشک ضروری است.
بلیچینگ ترکیبی بهترین گزینه برای افرادی است که هم به نتیجه سریع نیاز دارند و هم ماندگاری طولانی مدت را می خواهند. مزیت بزرگ این روش ترکیب قدرت و سرعت روشن کنندگی بلیچینگ مطبی با تأثیر پایدار بلیچینگ خانگی است به همین دلیل در تغییر رنگ های شدید، زردی های قدیمی و لکه های مقاوم بهترین عملکرد را دارد.
نتیجه ای که با این روش به دست می آید معمولاً روشن تر، یکنواخت تر و ماندگارتر از سایر روش هاست. با این حال به دلیل انجام دو مرحله درمان هزینه آن بالاتر از روش های دیگر است و نیاز به همکاری کامل بیمار در اجرای بخش خانگی دارد. اگر فرد دستورهای درمانی را به درستی اجرا نکند شدت سفید شد گی ممکن است کاهش پیدا کند.
این روش تنها برای دندان هایی کاربرد دارد که پس از عصب کشی تغییر رنگ داده اند و با روش های معمول روشن نمی شوند. مزیت اصلی آن این است که تیرگی از داخل دندان درمان می شود و نتیجه معمولاً بسیار چشمگیر است.
بلیچینگ داخلی می تواند دندان هایی را که سال ها تیره بوده اند روشن تر و هم رنگ دندان های دیگر کند و از نظر زیبایی تأثیر زیادی بر هماهنگی لبخند دارد. اما این روش فقط برای دندان های عصب کشی شده قابل انجام است و نیاز به دقت بسیار بالا دارد تا آسیبی به ساختار داخلی دندان وارد نشود. همچنین ممکن است درمان در چند جلسه انجام شود و به مراقبت های دقیق فردی نیاز دارد.

بلیچینگ دندان یک فرایند زیبایی تخصصی است، که با هدف روشن تر کردن رنگ طبیعی دندان ها و از بین بردن لکه های عمیق و سطحی انجام می شود و به دلیل سرعت، ایمنی و نتیجه چشمگیر به یکی از محبوب ترین روش های سفید سازی لبخند تبدیل شده است.
برای اینکه این درمان به درستی و با بهترین کیفیت انجام شود مراحل مشخص و دقیقی دارد که از معاینه اولیه و آماده سازی دندان ها آغاز می شود و تا اعمال مواد سفید کننده، فعال سازی آن ها و مراقبت های بعد از درمان ادامه می یابد. آشنایی با مراحل انجام بلیچینگ کمک می کند، فرد بداند چه انتظاری از این فرایند داشته باشد، چگونه برای آن آماده شود و چطور بهترین نتیجه ممکن را دریافت کند.
نخستین مرحله بلیچینگ معاینه دقیق دندان ها و لثه ها توسط دندانپزشک است تا مشخص شود فرد آمادگی لازم برای انجام این فرایند را دارد یا خیر. در این مرحله سلامت لثه ها، میزان پوسیدگی، وجود ترک های مینایی، دندان های حساس یا شکستگی ها بررسی می شود.
زیرا وجود هرکدام از این مشکلات می تواند سبب ایجاد حساسیت یا تضعیف نتیجه درمان شود. دندانپزشک همچنین میزان تیرگی و نوع لکه ها را ارزیابی می کند تا تصمیم بگیرد چه نوع بلیچینگی مناسب تر است و به چند درجه روشن تر شدن می توان دست یافت.
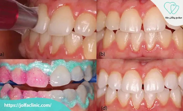
پس از تأیید سلامت دندان مرحله آماده سازی آغاز می شود که شامل پاک سازی سطح دندان ها از جرم، پلاک و لکه های سطحی است. این مرحله باعث می شود ماده سفید کننده به طور یکنواخت به مینای دندان نفوذ کند و بهترین نتیجه را ایجاد نماید. در این مرحله اگر جرم گیری یا پولیش سطحی نیاز باشد ابتدا انجام می شود. تمیزی کامل دندان ها قبل از بلیچینگ نقش مهمی در یکنواخت بودن روشنایی نهایی دارد.
برای جلوگیری از تماس مواد سفید کننده با لثه ها و بافت های نرم دندانپزشک ناحیه لثه را با ماده محافظ مخصوص یا ژل عایق پوشش می دهد. این کار از سوزش یا تحریک لثه ها جلوگیری می کند و باعث می شود درمان کاملاً ایمن انجام شود. همچنین با استفاده از رترکتور لب ها و گونه ها کنار نگه داشته می شوند تا ماده سفید کننده فقط روی دندان ها قرار گیرد.
در این مرحله ژل سفید کننده با غلظت مناسب روی سطح دندان ها قرار می گیرد. مواد سفید کننده حرفه ای معمولاً حاوی پراکسید هیدروژن یا پراکسید کاربامای هستند که با نفوذ به لایه های داخلی مینا، مولکول های رنگی را تجزیه کرده و تیرگی را از بین می برند. مقدار ژل، مدت زمان قرارگیری و نوع ماده بسته به وضعیت دندان ها تعیین می شود تا روشن شدن بدون آسیب انجام شود.
در بسیاری از روش های کلینیکی برای افزایش سرعت و قدرت اثرگذاری ژل از نور LED مخصوص یا لیزر استفاده می شود. این انرژی باعث می شود مواد سفید کننده سریع تر فعال شوند و در مدت کوتاه تری نتیجه ایجاد کنند. این مرحله معمولاً بین ۱۰ تا ۲۰ دقیقه طول می کشد و ممکن است ژل برای چند نوبت تعویض و دوباره فعال سازی شود تا درجه سفید شدگی بیشتری حاصل شود.
پس از پایان زمان مشخص ژل سفید کننده از روی دندان شسته می شود و دندانپزشک نتیجه را بررسی می کند. در این مرحله میزان روشن تر شدن دندان ها، یکنواختی رنگ و پاسخ بافت دندان ها به مواد ارزیابی می شود. اگر هنوز امکان روشن تر شدن وجود داشته باشد و نیاز باشد ممکن است یک مرحله دیگر ژل اعمال شود. در نهایت محافظ لثه برداشته می شود و فرد می تواند نتیجه را بلافاصله مشاهده کند.
در پایان دندانپزشک نکات مهمی درباره تغذیه، پرهیز از مواد رنگی، استفاده از خمیردندان ضد حساسیت و نحوه حفظ سفید شدگی ارائه می دهد. رعایت این توصیه ها نقش بزرگی در ماندگاری نتیجه دارد و کمک می کند سفیدی به دست آمده برای مدت طولانی تری حفظ شود. همچنین در برخی موارد ژل بلیچینگ خانگی برای ادامه یا تثبیت نتیجه تجویز می شود.
بلیچینگ دندان یک روش ایمن و کاربردی برای روشن تر کردن دندان هاست اما برای همه افراد مناسب نیست و انجام آن در برخی شرایط می تواند باعث حساسیت شدید، آسیب به دندان یا نتیجه نگرفتن کامل شود. شناخت افرادی که نباید بلیچینگ انجام دهند کمک می کند درمان با کمترین خطر و بیشترین کارایی انجام شود.
بلیچینگ برای افرادی که دندان پوسیده، ترک خورده، شکستگی، ساییدگی شدید یا لثه های ملتهب و عفونت دار دارند مناسب نیست. مواد سفید کننده می توانند به داخل ترک ها یا پوسیدگی نفوذ کرده و درد یا حساسیت شدید ایجاد کنند. همچنین لثه های بیمار ممکن است در تماس با مواد بلیچینگ واکنش تند نشان دهند. ابتدا باید مشکلات دهان و دندان به طور کامل درمان شوند و سپس بلیچینگ انجام شود.
اگر فرد به طور طبیعی دندان های بسیار حساس دارد یا در گذشته از نوشیدنی های سرد و گرم دچار درد می شده انجام بلیچینگ می تواند این حساسیت را چندین برابر کند. در چنین مواردی بهتر است ابتدا حساسیت تحت درمان قرار گیرد یا از روش های سفید کننده ملایم تر و خانگی تحت نظر پزشک استفاده شود.
بلیچینگ روی کامپوزیت، لمینت، روکش و پرکردگی ها هیچ تأثیری ندارد و رنگ مواد ترمیمی را روشن نمی کند. بنابراین اگر فرد در نواحی جلوی دهان ترمیم های قابل مشاهده داشته باشد پس از بلیچینگ رنگ دندان های طبیعی روشن تر شده اما رنگ ترمیم ها ثابت می ماند و این باعث ناهماهنگی ظاهری می شود. در این موارد ابتدا باید برنامه ریزی دقیق توسط دندانپزشک انجام شود.
اگرچه بلیچینگ تأثیر مستقیمی روی جنین ندارد اما توصیه می شود زنان باردار یا شیرده از انجام این درمان خود داری کنند. دلیل آن این است که مواد سفید کننده می توانند جذب شوند و هنوز تحقیقات کافی درباره اثرات احتمالی آن ها در دوران بارداری یا شیردهی وجود ندارد. بهتر است این درمان به بعد از این دوران موکول شود.
در نوجوانان هنوز ساختار مینای دندان و پالپ (عصب دندان) کامل نشده است و استفاده از مواد قوی سفید کننده ممکن است باعث آسیب یا حساسیت شدید شود. به همین دلیل بلیچینگ قبل از ۱۸ سالگی توصیه نمی شود مگر در شرایط خاص و تحت نظر کامل دندانپزشک.
لکه های ناشی از مصرف برخی داروها مثل تتراسایکلین یا تغییر رنگ های عمیق خاکستری معمولاً به بلیچینگ خوب پاسخ نمی دهند. در این موارد روش های زیبایی دیگر مانند لمینت یا کامپوزیت توصیه می شود تا پوشش کامل و ماندگار ایجاد شود.

ماندگاری بلیچینگ دندان بسته به روش انجام، نوع دندان ها، سبک زندگی و رعایت مراقبت های پس از درمان متفاوت است اما به طور کلی نتایج این روش بین ۶ ماه تا ۲ سال پایدار باقی می ماند. در بلیچینگ مطبی که با مواد غلیظ و فعال شده توسط نور یا لیزر انجام می شود تغییر رنگ دندان ها سریع و چشمگیر است و ماندگاری آن معمولاً بیشتر از روش خانگی است. در بلیچینگ خانگی با قالب اختصاصی روند سفید شدن تدریجی است اما اثر آن می تواند مدت بیشتری حفظ شود به شرطی که فرد به توصیه های دندانپزشک عمل کند.
عواملی که روی ماندگاری بلیچینگ تأثیر می گذارند شامل مصرف نوشیدنی ها و مواد رنگ زا مانند قهوه، چای، نوشابه های رنگی و شراب قرمز، سیگار کشیدن، رعایت بهداشت دهان و دندان و همچنین میزان طبیعی تیرگی و ضخامت مینای دندان است. برای حفظ نتیجه بلیچینگ دندانپزشکان معمولاً توصیه می کنند از خمیردندان های ضد لکه، رعایت فاصله بین مصرف مواد رنگ زا و انجام جلسات ترمیمی کوتاه مدت استفاده شود تا سفیدشد گی دندان ها برای مدت طولانی تری پایدار بماند.

بلیچینگ دندان به طور کلی روشی ایمن و کم تهاجمی است اما مانند هر درمان زیبایی دیگری ممکن است با برخی عوارض موقت و نادر همراه باشد. آگاهی از این عوارض کمک می کند فرد بداند چه چیزی طبیعی است و چه موقع نیاز به مراجعه به دندانپزشک دارد.
رایج ترین عارضه بلیچینگ حساسیت موقت دندان هاست که معمولاً پس از چند ساعت تا چند روز برطرف می شود. این حساسیت به دلیل نفوذ مواد سفید کننده به لایه های داخلی مینای دندان و تحریک عصب ها ایجاد می شود. استفاده از ژل ها یا خمیردندان های ضد حساسیت و رعایت فاصله بین جلسات بلیچینگ می تواند شدت این مشکل را کاهش دهد.
اگر ماده سفید کننده با لثه ها یا بافت های نرم دهان تماس پیدا کند ممکن است سبب سوزش یا التهاب موقت شود. برای پیشگیری از این مشکل دندانپزشک از محافظ های مخصوص لثه استفاده می کند و رعایت دقیق محل قرارگیری ژل اهمیت دارد. این التهاب معمولاً کوتاه مدت است و پس از شست وشوی دهان برطرف می شود.
در برخی موارد که دندان ها لکه های مقاوم یا ترمیم های قدیمی دارند ممکن است رنگ دندان ها به صورت یکنواخت سفید نشود. دندان هایی که قبلاً پرکرد گی، لمینت یا کامپوزیت دارند تحت تأثیر بلیچینگ قرار نمی گیرند و باعث تفاوت رنگ با دندان های طبیعی می شوند.
استفاده بیش از حد از مواد سفید کننده، غلظت بالا یا دفعات زیاد می تواند باعث خشکی، شکنند گی یا آسیب سطحی مینای دندان شود. به همین دلیل انجام بلیچینگ حتماً باید تحت نظر دندانپزشک و با رعایت دستورالعمل ها انجام شود.
مصرف اشتباه مواد بلیچینگ یا بلع آن ممکن است باعث تحریک معده یا گلو شود اما این اتفاق نادر است و با رعایت نکات ایمنی و استفاده صحیح از ژل ها قابل پیشگیری است.
تفاوت بلیچینگ مطبی و خانگی در روش انجام، سرعت نتیجه، غلظت مواد و ماندگاری سفیدشد گی مشخص می شود و هرکدام مزایا و محدودیت های خاص خود را دارند. شناخت این تفاوت ها به افراد کمک می کند براساس نیاز، زمان و شرایط دهان و دندان بهترین گزینه را انتخاب کنند.
در این روش سفید کردن دندان ها به صورت مستقیم در کلینیک و تحت نظارت دندانپزشک انجام می شود. از مواد سفید کننده با غلظت بالاتر استفاده می شود و معمولاً با نور LED یا لیزر فعال می گردد تا تأثیر سریع تری داشته باشد.
مزیت اصلی بلیچینگ مطبی نتیجه فوری و چشمگیر است یعنی معمولاً در یک جلسه دندان ها چند درجه روشن تر می شوند. همچنین تمام مراحل توسط متخصص کنترل می شود و احتمال حساسیت شدید یا آسیب به لثه ها کاهش می یابد. از طرفی هزینه این روش بالاتر است و برخی افراد ممکن است پس از درمان حساسیت موقت دندان را تجربه کنند.
در روش خانگی دندانپزشک یک قالب ژله ای شخصی سازی شده از دندان ها می سازد و ژل سفید کننده با غلظت کمتر در اختیار فرد قرار می گیرد. بیمار باید طبق دستور پزشک چند ساعت در روز یا شب ها از قالب استفاده کند. مزیت این روش کاهش حساسیت دندان ها و کنترل تدریجی روشن شدن رنگ دندان ها ست و ماندگاری سفیدشد گی آن معمولاً بالا است. اما نتیجه فوری ایجاد نمی کند و نیاز به صبر و رعایت دقیق دستورالعمل ها دارد.

